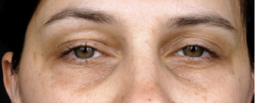
Cernes noirs sous les yeux : une preoccupation majeure pour les personnes a peaux noires, mates et metissees
Les cernes noirs sous les yeux sont l’une des préoccupations esthétiques les plus fréquentes, quel que soit le phototype. Maintenant, chez les peaux noires, mates et métissées, ils sont souvent plus marqués, persistants et surtout difficiles à corriger. Cette spécificité s’explique par la structure particulière du contour de l’œil et par la tendance chez les peaux noires, mates et métissées à développer une tache noire comme symptôme de toutes problématiques dermatologiques. Avant de traiter, il faut distinguer les causes réelles (pigmentaires, vasculaires, structurelles) et adapter les soins à la spécificité des peaux noires, mates et métissées.
Qu’est ce qui caractérise la zone périorbitaire ?
La zone autour de nos yeux est particulièrement fragile puisqu’elle est peu épaisse : 2 à 4 fois plus fine que la peau du visage. Elle est faiblement protégée, peu résistante ; il s’agit de la peau la plus sensibles du visage.
Le film hydrolipidique y est moins abondant que sur le reste du visage (glandes sébacées et sudoripares moins nombreuses), le rôle de protection contre les agressions extérieures est donc diminué ainsi que la protection contre la déshydratation.
L'épiderme est très fin à ce niveau, ce qui rend la aussi la peau plus vulnérable. Le ralentissement du renouvellement cellulaire et de la synthèse lipidique (responsable de l'hydratation), donne des cellules qui fonctionnent moins bien (moins bonne adhérence des cellules entre elles) ce qui entraîne un amincissement de l'épiderme et une diffusion de l’eau intrinsèque vers la surface.
Le derme y est aussi plus fin. Il est appauvri en fibres de collagène et en élastine. Sous la peau, le tissu est très lâche et donc cette peau se laisse facilement distendre.
Dans l’hypoderme peu de cellules adipeuses, les réserves en eau s'appauvrissent donc la peau s'assèche et se fragilise et devient le lieu de prédilection de la formation des rides. Le contour de l’œil est particulièrement riche en vaisseaux sanguins, cependant cette zone peut facilement subir des désordres de la circulation sanguine dus à une mauvaise hygiène de vie. En effet, quand les circulations lymphatiques et sanguines ralentissent ou sont engorgées, une accumulation de micro-déchets sanguins et de toxines se crée, qui apparaissent en transparence au travers d’un épiderme très fin, ce sont les cernes foncés. Les échanges entre les cellules se faisant mal, cela induit une rétention d'eau, les paupières gonflent, formant les poches sous les yeux.
Zone riche en muscles, 22 au total dont 14 en perpétuel mouvement : clignement toutes les 10 secondes (plus de 10 000 par jour) pour assurer une hydratation permanente à la cornée. Cette fonction indispensable des paupières n’est possible que par la finesse de leur peau, cependant avec ses 10 000 clignements par jour, les fibres sont plus rapidement détériorées et deviennent moins fermes donc le contour des yeux est le premier à subir la fatigue et les signes de l’âge : cernes, poches et ridules.
La peau du contour de l’œil est très réactive du fait de sa richesse en cellules inflammatoires (mastocytes) ; ceci explique les réactions fréquentes d’intolérance et d’allergie.
Autant de spécificités qui concourent à la sensibilité du contour de l’œil, en particulier face à un démaquillage trop irritant ou des produits cosmétiques inadaptés, comme ceux contenant des actifs allergènes, ou encore du parfum. De ces micro-agressions quotidiennes, naissent parfois des réactions allergiques qui font que le contour de l'œil est la première zone du visage à être marquée par le temps.
Les problématiques périorbitaires les plus courantes
Gonflement des paupières : Le gonflement des paupières apparait à la suite d’une diminution de la microcirculation lymphatique.
Poches : Les poches sous les yeux sont provoquées par des dérèglements des flux d’eau. Avec l'âge, les 10 000 battements de cils par jour finissent par affaiblir les fibres de soutien du contour de l’œil et la peau se relâche. Aussi, les vaisseaux sanguins et lymphatiques, qui nourrissent les cellules de cette zone, fonctionnent au ralenti. Les échanges entre les cellules se font mal. Cela induit une rétention d'eau, les paupières gonflent, formant les poches sous les yeux.
Ridules, rides : Les rides et ridules se produisent par plissement répétitif des yeux et par la dégradation des fibres dermiques, liée au vieillissement physiologique et actinique (par le soleil)
Dessèchement, dermatite atopique, eczéma... : Ces désagréments sont liés à une déficience du film hydrolipidique présent sur cette peau périorbitaire.
Ptose : La ptose des paupières (paupières qui descendent) est causée par un relâchement musculaire et cutané lié au vieillissement.
Amas graisseux : Les amas graisseux situés au niveau des paupières sont souvent la traduction d'un trouble au niveau du métabolisme des lipides et du cholestérol.
Irritations, rougeurs, picotements : Ces phénomènes se produisent le plus souvent en cas d'allergie à des produits inadaptés ou mal utilisés.
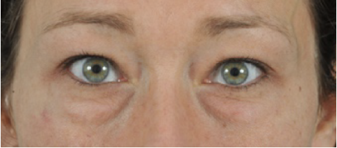
Cernes : Les cernes sont principalement liés à un trouble de la pigmentation de la peau et à des capillaires fragilisés. En effet une diminution de la microcirculation sanguine se traduit par des capillaires sanguins plus foncés, plus marqués et plus visibles. Les parois vasculaires étant alors moins élastiques et moins étanches, du sang va passer des capillaires vers le milieu interstitiel. L’hémoglobine s’accumule alors dans la partie infra-orbitale et se dégrade par oxydation en biliverdine, bilirubine ou en fer, à l’origine de la coloration caractéristique des cernes-bleutés. De plus, si la lymphe, qui est responsable du drainage des tissus, ne fonctionne pas bien, l’élimination des pigments regroupés sous la peau ne pourra pas se faire correctement.
On distingue :
Le cerne creux : il creuse la paupière inférieure qui apparaît « vidée ». Il est provoqué par une fonte de la graisse de la paupière ou par le vieillissement du visage : la peau s’affine, les pommettes s’aplatissent, la face se « squelettise ».
Le cerne plein : C’est la situation inverse, la paupière est « pleine » car la graisse orbitaire fait hernie et distend de façon permanente la peau de la paupière inférieure. Ceci est différent des yeux pochés le matin au réveil (accumulation de lymphe durant la nuit, qui disparaît après s'être levé).
Le cerne pigmentaire : Il se caractérise par la présence d’une pigmentation plus ou moins intense de la paupière inférieure. Sa couleur est variable et peut avoir diverses origines. Chez les personnes à peau claire ayant des paupières inférieures foncées par la présence d’une accumulation de mélanine. En général d’origine héréditaire, ce type de cerne apparaît brun, voire bleuté. Inversement, chez les personnes à peau noire, mates ou métissée ayant une forte concentration de mélanine sur les paupières, cette coloration atteint les quatre paupières dans leur totalité, jusqu’au rebord des cils. Dans ce cas, la couleur du cerne apparaît nettement plus intense que la peau avoisinante, allant du brun foncé au noir.
Paupières dont la peau est particulièrement fine, laissant apparaître par transparence, les vaisseaux capillaires du derme : le cerne, dénommé cerne « vasculaire », est dans ce cas plutôt bleu ou rouge.
Inversement, personnes ayant des paupières dont la peau est particulièrement épaisse (couche cornée) ou avec d’importantes poches graisseuses : le cerne prend alors une couleur jaune.
Le cerne mixte : Il correspond à l’association des différentes anomalies décrites ci-dessus : creux ou poches, pigmentation plus ou moins prononcée et de couleur variable, excédent de peau, présence de rides.




L’Hyperpigmentation périorbitaire (HPO) : focus peaux noires, mates et métissées
L’HPO est une affection généralement bénigne, extrêmement fréquente mais encore mal définie, très peu de données scientifiques sont disponibles sur son profil clinique et sa pathogénicité. Cette hyperpigmentation est connue sous le nom de « cernes pigmentaire », « tache pigmentaire » et a également été dénommée « obscurcissement infra-orbitaire ». Les préoccupations esthétiques du visage ont été la principale raison des consultations dermatologiques au cours des dernières années. L'HPO est définie comme des macules hyperchromiques homogènes et bilatérales, impliquant principalement les paupières inférieures, mais s'étendant parfois aussi vers les paupières supérieures, les sourcils, les régions malaires, les régions temporales et la racine nasale latérale.
Cliniquement, l’HPO se caractérise par une pigmentation brun clair-foncé, brun-noir entourant les paupières et donne un regard fatigué au patient. L’hyperpigmentation périorbitaire est estimée à 30,76%. L'âge de début est habituellement après la puberté ou au début de l'âge adulte (16-25 ans). Les conditions génétiques ne sont pas nécessairement congénitales (présentes à la naissance) cependant l’HPO est fréquemment vue dans plusieurs membres de la même famille. Le génotype est fixé à la conception, mais le phénotype peut ne pas se manifester jusqu'à la vie adulte. Dans de tels cas, la pénétrance est liée à l'âge, ce qui confirme que l'âge de début de l’HPO pour la majorité des patients sera au début de l'âge adulte.
L’HPO est plus prononcée dans certains groupes ethniques, notamment les personnes à peaux noires, mates et métissées. Bien que cela ne soit pas rare chez les hommes, les femmes sont davantage affectées dû à des facteurs hormonaux. Peu de statistiques donnant la fréquence de son occurrence, mais à en juger par la quantité de publicité des cosmétiques commercialisés pour les traiter, les cernes sont une préoccupation cosmétique pour un grand nombre d'individus. Il est absolument essentiel de définir le type d’hyperpigmentation périorbitaire et de déterminer les facteurs de causalité afin de diriger les mesures appropriées pour de meilleurs résultats.
Des chercheurs ont récemment effectué une analyse clinique et proposé une classification sur la base de la structure clinique de la pigmentation et de la vascularisation. L'hyperpigmentation périorbitaire a été classée en coloration pigmentée (couleur brune), vasculaire (bleu / rose / pourpre), et le type mixte basé sur l’association de ces derniers.
Le type mixte (M) comprend les quatre sous-types suivants : pigmenté-vasculaire (PV), pigmenté-structural (PS), vasculaire-structural (VS), et une combinaison des trois. Ce type mixte combine deux ou trois des apparitions ci-dessus.
Le type pigmenté (P) apparaît sous la forme d’une teinte brune infra-orbitaire.
Le type Vasculaire (V) apparaît avec une coloration bleue, rose, ou pourpre avec ou sans gonflement périorbitaire.
Le type structurel (S) apparaît sous la forme d'ombres structurales formées par les contours de la surface anatomique du visage. Elle peut être associée à des sacs palpébraux infra-orbitaires, à une blépharoptose (affaissement de la paupière supérieure, due à une lésion traumatique) et à une perte de graisse avec une proéminence osseuse.
L'hyperpigmentation périorbitaire présente une ou plusieurs des caractéristiques suivantes :
- Dépôts de mélanine diffus et concentrés,
- Vascularisation sous-cutanée superficielle et ralentie,
- Ombres causées par une graisse orbitaire.
Il existe très peu de données scientifiques disponibles sur le profil clinique et la pathogenèse de l’HPO. Divers facteurs exogènes et endogènes sont éventuellement impliqués dans sa pathogenèse.
Le tableau ci-dessous offre une vue complète des différentes causes des cernoirs noirs.
| Endogène | Exogène |
|---|---|
| Génétique / hérédité | Fatigue |
| Vascularité ralentie et localisation | Vascularité ralentie et localisation |
| Âge avancé | Hyperpigmentation post-inflammatoire secondaire à la dermite atopique et de contact |
| Carence en vitamine K | La thérapie hormonale (contraceptifs oraux à base d’œstrogène) |
| Peau fine | Le port de lunette de vue |
| Épuisement des muscles périorbitaires | Stress |
| Œdème périorbitaire | |
| Augmentation de la sécrétion d’alpha-MSH via l'axe HHS | |
| Augmentation de la sécrétion de l’alpha-MSH pendant la grossesse | |
| Ménopause |
Les facteurs endogènes des cernes noirs
L'HPO est considérée comme ayant une base génétique. Plusieurs membres d’une même famille sont généralement affectés par une hyperpigmentation périorbitaire. Beaucoup d'entre eux ont reconnu la pigmentation au début de l'enfance et ont déclaré que la pigmentation augmentait avec l'âge. La génétique y est donc pour quelque chose dans l’apparition des cernes. De plus, la finesse de la peau sous les yeux a aussi un caractère héréditaire.
En cas de fatigue, insomnie, pleurs, les vaisseaux de la paupière inférieure sont plus dilatés et la circulation sanguine est ralentie ce qui provoque une extravasation dermique du sang. La libération des ions ferriques se fait localement, entraînant la formation des radicaux libres qui stimulent les mélanocytes, ce qui génère une pigmentation mélanique. L'apparition superficielle de la vascularisation à travers la peau mince est une cause fréquente d'HPO, d’autant plus quand cette vascularisation est ralentie au niveau de la zone périorbitaire. Cette affection implique habituellement l'ensemble des paupières inférieures avec une apparence violacée due à des vaisseaux sanguins profonds recouverts d'une mince couche de peau.
Les cernes ont tendance à devenir plus voyants et permanents avec l'âge. Ceci survient à cause du vieillissement et de la perte de collagène, la peau perd en élasticité et gagne en sensibilité. Les vaisseaux sanguins de cette partie vont alors s’élargir et se gonfler pour devenir plus voyants.
La vitamine K est un ingrédient commun dans les crèmes utilisées pour traiter le vieillissement cutané et les problèmes de sous-yeux, y compris les cernes. La vitamine K est un coagulant qui peut aider à renforcer les vaisseaux sanguins et de les empêcher d'être endommagés. Une carence en vitamine K peut provoquer la rupture des capillaires, une extraversion dermique du sang et être à l’origine de la formation de cernes sous les yeux. La peau étant plus fine au niveau des yeux, il est plus facile de voir le sang par transparence. En effet, certaines personnes ont une peau plus fine que d'autres, ce qui augmente les risques d'avoir des cernes.
Des recherches ont montré que l'épuisement des muscles périorbitaires peut jouer un rôle important dans la causalité de l’HPO. L’épuisement de ses muscles, les rend moins toniques, et engendrera une dilatation des capillaires sanguins, provoquant l’apparition de cernes.
L'accumulation anormale de liquides autour des yeux se nomme œdème périorbitaire, ce qui donne l'apparence d'avoir les yeux cernés. L'œdème périorbitaire est en fait un symptôme de certaines maladies, telles que la mononucléose ou la maladie de Basedow (hyperthyroïdie)…
Parmi les agents d’origine kératinocytaire dont la production est stimulée par les UV, l’hormone adrénocorticotrope (ACTH) et l'alpha mélanocyte stimulating hormone (a-MSH qui résulte du clivage de l’ACTH) sont les plus puissants activateurs de la mélanogenèse. Lors d’une période de stress, la glande surrénale va sécréter une quantité importante de cortisol (hormone qui permet à l’organisme de résister au stress), mais lorsque cette période de stress est prolongée, la glande surrénale s’épuise, ce qui provoque un déséquilibre hormonal. L’hormone ACTH va alors augmenter afin de stimuler la production de cortisol. Les cernes sous les yeux sont dus à une hausse de l’hormone ACTH qui va se cliver en alpha-MSH (hormone à l’origine de la sécrétion de mélanine).
Pendant la période de grossesse, la production d’hormones stéroïdes sexuelles augmente sous l’action de l’hormone gonadotropique chorionique placentaire. De ce fait, les sécrétions surrénaliennes et hypophysaires de mélanocytes stimulating hormone (MSH), de thyroid stimulating hormone (TSH), d’adrenocorticotrophic hormone (ACTH) et de glucocorticoïdes s’élèvent. Les sécrétions d’ACTH, de MSH et de TSH sont augmentées en raison de l’hyperfonctionnement hypophysaire durant la grossesse : l’ACTH clivé en alpha MSH stimule l’activité mélanocytaire et participent à la pigmentation gravidique touchant préférentiellement les aisselles, les seins, la face interne des cuisses, la région anogénitale. L’augmentation de TSH entraine quant à elle une modification endocrinienne en augmentant l’activité de la thyroïde, on parle d’hyperthyroïdie. Au cours de l’hyperthyroïdie, on peut observer soit une hyperpigmentation diffuse, soit une hyperpigmentation des régions périorbitaires. De plus, ces changements dans les niveaux d'hormones provoqués par la grossesse peuvent également dilater les petits vaisseaux sanguins, rendant les cernes sous les yeux plus visibles.
Lorsqu’une femme entre en ménopause, la peau perd en densité, les glandes sébacées cessent leur activité vers 50 ans, ce qui provoque un relâchement cutané. De plus les œstrogènes et la progestérone diminuent progressivement jusqu’à qu’il n’en reste plus, ce qui laisse le champ libre à la testostérone (hormone masculine présente dans le corps de toutes les femmes), cela provoque un trouble de la vascularisation du visage, et une possibilité d’apparition de cernes.
Les facteurs exogènes des cernes noirs
Le manque de sommeil peut causer un palissement de la peau, permettant au sang qui circule de devenir beaucoup plus visible et plus sombre. L'apnée du sommeil peut également être en cause dans l'apparition de cernes. Le tabac et l'alcool seraient des facteurs de risque. Une explication serait que la circulation lymphatique est ralentie en période de pleine activité.
L'eczéma de contact est un eczéma d'origine allergique (dermite allergique de contact). Il se manifeste dans les 2 à 72 heures après qu'a eu lieu un contact avec une substance : un allergène. Il s'agit d'une hypersensibilité immunologique de contact qui, une fois acquise, est le plus souvent définitive. Contrairement à la dermatite atopique, il n'a pas d'origine génétique. L'eczéma de contact sera particulièrement marqué à l'endroit exact ou l'allergène est entré en contact avec la peau, mais il peut ensuite s'étendre et même se généraliser parfois. Les sources de l’allergie de contact sont multiples : cosmétiques, médicaments ou allergènes. Le terme de dermatite atopique ou eczéma atopique désigne les manifestations inflammatoires cutanées chroniques et/ou récidivantes associées à l’atopie, trait héréditaire polygénique très prévalent, dont les diverses manifestations cliniques (dermatite atopique, rhinite allergique et asthme) touchent environ un tiers de la population générale. L'HPO peut donc être causée par le frottement et le grattage de la peau autour des yeux et par l'accumulation de liquide due à une allergie comme dans la dermatite atopique et la dermatite allergique de contact.
Le rajout d’hormones à travers des contraceptifs oraux, engendrera une diminution d’hormones stéroïdes sexuelles due à un ralentissement de la glande gonade. Ce ralentissement d’activité de la glande gonade, provoquera une hypothyroïdie (diminution de l’activité de la thyroïde), ce qui mettra l’organisme en état de catabolisme. Un bon nombre des symptômes de l’hypothyroïdie sont les mêmes que ceux indiqués pour la fatigue surrénalienne, ce qui n’est pas étonnant car thyroïde et surrénales travaillent ensemble pour maintenir le métabolisme en équilibre. Leurs insuffisances se manifestent souvent ensemble et provoquent plusieurs symptômes dont l’apparition de cercles sombres sous les yeux (cernes), une hyperpigmentation des régions exposées à la lumière, une peau d’avantage pâle, mince et sèche. De plus, la pilule à base d’œstrogène provoque une augmentation des facteurs de coagulation du sang et une diminution des facteurs anti-coagulant. Ce changement provoque une pro-coagulation du sang et peut engendrer la formation de cernes, due à une moins bonne circulation du sang associé à une peau périorbitaire très fine
Porter des lunettes de vue peut entrainer des micro-chocs au niveau des paupières inférieures. A force d’être répété cela occasionne des phénomènes inflammatoires et des taches vasculaires ou pigmentaires.
Le stress, tout comme l'anxiété, peuvent engendrer de nombreux méfaits sur l'organisme de la personne qui en est affecté, tant au niveau psychologique que physique. Les causes du stress sont multiples et bien évidemment, tout le monde n'est pas égal devant le stress, certaines personnes sont plus vulnérables que d'autres et la génétique peut aussi exercer une influence dans ce domaine. Les conséquences d'un stress prolongé et mal géré peuvent être nombreuses : fatigue, irritabilité, burn-out, dépression, problèmes cutanés... Au niveau physique, le stress peut avoir pour conséquence de déclencher l’apparition de cernes. Prise en charge dermocosmétique adaptée aux cernes noirs sur peau noire, mate et métissée Hygiène et protection Nettoyage doux sans tensioactifs agressifs, éviter les frottements, et appliquer une protection solaire quotidienne (SPF ≥ 30).
Prise en charge dermocosmétique adaptée aux cernes noirs sur peau noire, mate et métissée
- Hygiène et protection : Nettoyage doux sans tensioactifs agressifs, éviter les frottements, et appliquer une protection solaire quotidienne (SPF ≥ 30).
- Actifs dépigmentants non irritants : Préférer des actifs doux : Niacinamide, N-Acetyl Glucosamine, Oligopeptide-68, extrait de son de blé. Ces ingrédients freinent la mélanogenèse sans agresser la peau fine du contour des yeux.
- Actifs circulatoires et anti-fatigue : Caféine, hespéridine, vitamine K et peptides biomimétiques stimulent la microcirculation et renforcent les capillaires, tandis que l’acide hyaluronique hydrate et repulpe.
- Gestuelle d’application : Appliquer une petite quantité de soin matin et soir par tapotements doux, de l’intérieur vers l’extérieur de l’œil. Conserver le produit au réfrigérateur pour un effet défatigant immédiat.
- Solutions dermatologiques complémentaires sous contrôle médical : Peelings doux à l’acide mandélique, carboxythérapie ou laser Q-switched peuvent compléter la prise en charge, sous supervision dermatologique obligatoire, notamment sur les peaux noires, mates et métissées.
- Prévention et entretien : Sommeil suffisant, hydratation, protection solaire, absence de frottements et soins réguliers adaptés aux peaux pigmentées sont les clés d’une prévention efficace.
En conclusion
Les cernes noirs sur peaux noires, mates et métissées sont multifactoriels. Leur atténuation passe par un diagnostic précis, une routine dermocosmétique adaptée et une prévention quotidienne. Les formules associant Niacinamide, N-Acetyl Glucosamine et peptides drainants offrent des résultats visibles sans irriter cette zone fragile.
FAQ — Cernes noirs sous les yeux (peaux noires, mates et métissées)
Pourquoi mes cernes persistent même quand je dors bien ?
Chez les peaux noires, mates et métissées, les cernes sont souvent liés à une hyperpigmentation périorbitaire (HPI) plutôt qu’à la fatigue. Ils nécessitent une routine éclaircissante douce, régulière et adaptée au contour de l’œil, en complément d’une bonne hygiène de vie.
Puis-je utiliser ma crème dépigmentante visage sous les yeux ?
Uniquement si la formule est conçue pour le contour de l’œil (pH et doses adaptés). Les crèmes visage sont souvent trop concentrées et peuvent irriter cette zone fine. Privilégiez des actifs doux comme la Niacinamide ou la N-Acetyl Glucosamine.
Les lasers sont-ils adaptés aux peaux noires, mates ou métissées ?
Oui, certains lasers (ex. Q-Switched) peuvent convenir, uniquement sous la supervision d’un dermatologue expérimenté. Évitez les lasers fractionnés et les peelings forts qui exposent à un rebond pigmentaire.
En combien de temps peut-on observer des résultats ?
Les premiers effets apparaissent en général après 4 à 8 semaines d’application biquotidienne, associée à une photoprotection quotidienne (SPF 30 minimum).
Le froid aide-t-il à améliorer l’apparence des cernes ?
Oui. Le froid décongestionne et stimule la microcirculation. Conserver votre soin contour des yeux au réfrigérateur optimise cet effet immédiat et illumine le regard.
